
Cosmetic Dentistry
Porcelain Dental Veneers
Procedure Description
Veneers have been a game changer when it comes to having permanent straight and white teeth within 10 days. Porcelain veneers are thin, custom-made shells of medical-grade ceramic that are bonded to the front surface of your teeth. This very minimally invasive procedure allows most patients to achieve instant results within a week or two. The dentist will remove a small amount of enamel (typically 0.5mm) to make room for the veneer, take precise impressions, and have your veneers crafted in a dental laboratory. Once ready, the veneers are permanently bonded to your teeth using a special adhesive and curing light, creating a beautiful, natural-looking smile transformation that patients prefer for its speed and effectiveness.
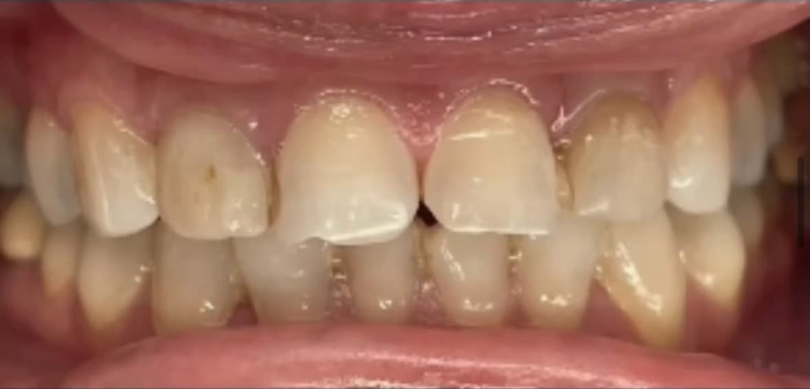
Before Veneers

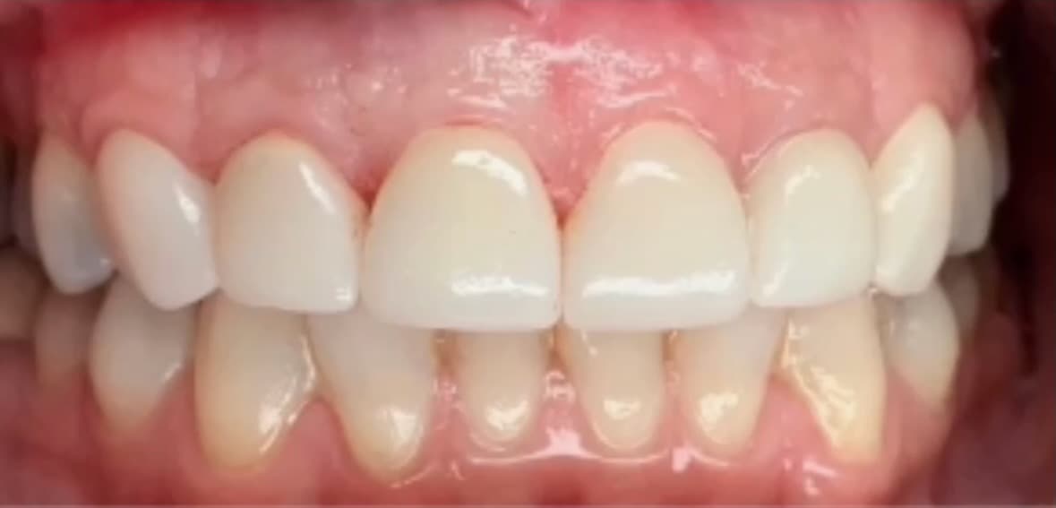
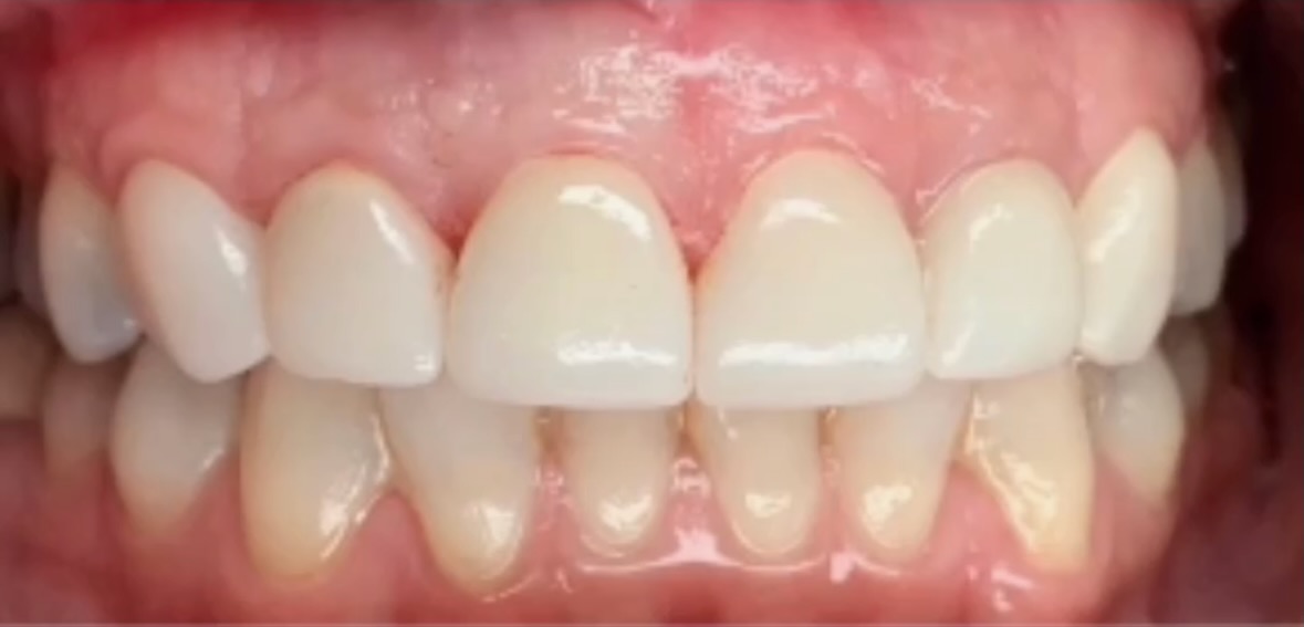
After Veneers

Indications
Porcelain veneers are an excellent cosmetic solution for transforming the appearance of your front teeth in just 10 days. This minimally invasive procedure is ideal for patients who want instant results and want to correct:
When to Consider Porcelain Dental Veneers
Severe Discoloration
Stains that don't respond to whitening treatments, including tetracycline staining or fluorosis.
Chipped or Worn Teeth
Moderate damage to tooth surfaces that affects appearance.
Gaps and Spacing Issues
Small to moderate spaces between teeth that you want to close permanently.
Minor Misalignment
Slightly crooked or uneven teeth that don't require full orthodontic treatment - get straight teeth in a week or two.
Irregularly Shaped Teeth
Teeth that are too small, too large, or have unusual contours.
Note: Veneers require healthy teeth and gums. If you have significant tooth decay, gum disease, or severe misalignment, other treatments may need to be completed first. Veneers are a much more conservative approach than crowns, removing less tooth structure while achieving the same look. This conservative approach means less sensitivity and significantly lower risk of requiring root canal treatment compared to crown preparations.
Benefits
Why Choose Porcelain Dental Veneers?
Quick Results - 10 Days
Get permanent straight and white teeth within 10 days. Most patients prefer the instant results veneers provide, with completion in just a week or two.
Conservative Approach
Veneers are a much more conservative approach than crowns, removing minimal tooth structure (typically 0.5mm) while achieving the same beautiful look as a crown.
Minimizes Sensitivity
Because veneers remove much less tooth structure compared to crown preparations, teeth remain less sensitive and more comfortable long-term.
Reduces Need for Root Canals
The conservative nature of veneer preparation significantly lowers the risk of needing root canal treatment. Crowns remove more tooth structure, which can compromise the nerve and increase the likelihood of requiring root canal therapy.
Stain Resistant
Porcelain is highly resistant to staining from coffee, tea, wine, and tobacco.
Long-Lasting
With proper care, porcelain veneers typically last 10-15 years or longer.
Alternatives
Dental Bonding
Less expensive and faster but not as durable or stain-resistant
Teeth Whitening
Effective for discoloration alone, but doesn't address shape or alignment
Crowns
Required for teeth with extensive damage or structural issues, but remove significantly more tooth structure, which can lead to increased sensitivity and higher risk of needing root canal treatment
Orthodontics
Better solution for significant misalignment or bite issues
Cost & Fee Schedule
The average cost of porcelain veneers ranges from $1200-$1600 per tooth. Your out-of-pocket cost will vary depending on insurance coverage. Contact us for exact pricing and to learn about our flexible payment options and insurance coverage.
Authored By
Dr. Vahag Mehrabian
Frequently Asked Questions
Related Services
Locations Offering Porcelain Dental Veneers
Available at all Prime Dental locations throughout Los Angeles County
Schedule a Consultation
Ready to learn more about this treatment? Contact us today.
Book Appointment